Сужение и уплотнение коронарных артерий вследствие известкования их стенок отложениями коронарного кальция приводит к кислородному голоданию миокарда и влечет за собой такие болезни: ишемию, аритмию, стенокардию, сердечную недостаточность.
Эти недуги становятся причиной внезапной смерти человека.
Отложение кальция на стенках сосудов может называться кальциноз коронарных артерий или кальцификация сосудов.
- старческий возраст;
- болезни почек;
- заболевания кишечника;
- курение и чрезмерное увлечение алкоголем;
- диабет;
- наследственность;
- нерациональное питание;
- повышенный холестерин;
- избыточная масса тела;
- недостаток движения;
- врожденные и приобретенные пороки сердца.
Этиология заболевания
Специалисты предлагают четкое описание болезни:
Работа миокарда зависит от потока крови, питающего мышцу кислородом. При сужении артерий начинается кислородное голодание тканей миокарда, что приводит к развитию ишемии и других заболеваний сердца.
Последние исследования подтверждают, что процесс образования склеротических бляшек начинается еще в подростковом возрасте с образования пятен жира в артериях.
При обследовании детей-подростков в их сосудах были выявлены кристаллы кальция, свидетельствующие о начале образования сосудистых бляшек, предпосылкой к этому процессу может служить неправильное питание.
На данный момент в среде ученых не существует единого мнения о причинах возникновения кальцината в сосудах, однако, специалисты утверждают, что большую роль в кальцинозе аорты играет аминокислота Gla, связывающая кальций.
Врачи отмечают, что кальциноз коронарных артерий является важным маркером сердечно-сосудистых заболеваний. Накопление кальция в стенках артерий может указывать на атеросклероз и повышенный риск сердечных приступов. Специалисты подчеркивают, что ранняя диагностика и мониторинг этого состояния имеют решающее значение для предотвращения серьезных осложнений. Современные методы визуализации, такие как КТ-коронарография, позволяют точно оценить степень кальцификации и принять меры по коррекции факторов риска. Врачи рекомендуют пациентам с высоким уровнем кальция в коронарных артериях обратить внимание на образ жизни, включая диету и физическую активность, а также регулярно проходить обследования для контроля состояния сердечно-сосудистой системы.

Симптомы
Начало заболевания проходит бессимптомно, на поздних стадиях начинает проявляться такая симптоматика:
- нарушение процессов запоминания;
- боли в груди;
- аритмия;
- усталость при отсутствии физических нагрузок;
- частые головокружения;
- резкое похудение;
- плохой аппетит;
- одышка;
- зависимость от метеорологических условий.
Физическое состояние ухудшается после физической работы, упражнений и приема пищи.
Диагностика
Больной должен пройти такие обследования:
- ЭКГ в двенадцати отведениях;
- Эхокардиография;
- нагрузочный тест;
- коронарография;
- томография.
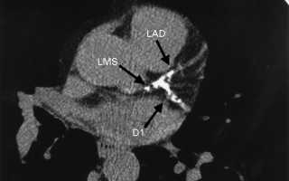
Кальциевый индекс коронарных артерий определяют на мультиспиральном томографе.
Индекс кальцификации коронарных артерий показывает насколько опасной является масса отложений в аортокоронарных сосудах.
Диагностика на томографе занимает не более десяти минут. Бляшки видны, как пятна белого цвета.
Показания для прохождения томографии:
- наличие наследственных кардиологических заболеваний;
- повышенный холестерин;
- вредные привычки;
- ожирение;
- сахарный диабет.
Обследование проходят женщины сорока и выше лет и курящие мужчины после тридцати. Определение кальциевого индекса необходимо для назначения адекватного лечения.
Для прохождения мскт не нужна предварительная подготовка, врач сделает анализ на уровень холестерина и глюкозы, измерит артериальное давление и посчитает пульс.
Во время обследования пациент лежит на спине, на грудную клетку устанавливают датчики, лежать нужно неподвижно.
Для получения точных данных врач попросит на несколько секунд задержать дыхание. По мере продвижения через сканер аппарат делает снимки.
Лечение
Лечение назначается кардиологом после прохождения полного курса диагностики. Лечить кальциноз можно медикаментозно, хирургическим путем и, как дополнение к основному методу, используются народные средства.
Медикаментозное лечение решает такие задачи:
- снижает до нормы количество кальция в крови и кальциноз сосудов;
- нормализует кровопоток;
- понижает показатель вязкости крови;
- нормализует давление;
- устраняет риск развития ишемии.
Препараты для лекарственной терапии:
- Дигоксин;
- Фелодипин;
- Сустонит;
- Верапамил;
- Фуросемид;
- Верошпирон;
- Коргликон.
Лечение затрудняется тем, что заболевание часто начинает проявлять себя на поздней стадии.
Тяжелая степень поражения сосудов приводит к летальному исходу в случае проведения хирургической операции, люди старшей возрастной категории ее просто не переживают.
Также кальциноз в коронарной артерии часто приводит к внезапной смерти, чтобы установить ее причину используют микропрепарат, показывающий зону поражения сосудов.
Кальциноз коронарных артерий — это состояние, которое вызывает много обсуждений среди пациентов и врачей. Многие люди, узнав о наличии кальцификатов в сосудах, испытывают страх и беспокойство. Некоторые считают, что это неизбежно ведет к сердечно-сосудистым заболеваниям, в то время как другие отмечают, что наличие кальция не всегда означает серьезные проблемы. Важно понимать, что кальциноз может быть частью естественного старения организма, и не всегда требует немедленного вмешательства. Врачи подчеркивают, что регулярные обследования и здоровый образ жизни могут помочь контролировать состояние. Люди делятся опытом, рассказывая о том, как изменения в питании и физической активности помогли им улучшить здоровье. Однако, несмотря на положительные примеры, многие все же ищут дополнительные мнения и рекомендации, чтобы лучше понять, как справляться с этой проблемой.

Оперативное вмешательство
Существует два метода хирургического вмешательства:
- комиссуротомия;
- протезирование.
Риск послеоперационных осложнений достаточно велик, это повторная закупорка, тромбозы, аллергия, отторжение имплантата.
Выбор метода хирургического вмешательства зависит от тяжести заболевания и индивидуальных особенностей протекания процесса кальцинирования.
Комиссуротомия
Это иссечение спаек, мешающих нормальному кровотоку.
Существует два метода проведения операции: через открытую грудную клетку и малоинвазивное вмешательство, когда катетер вводят через венечный сосуд на бедре.
Комиссуротомию рекомендуют пациентам, находящимся на второй или четвертой стадии стеноза.
К операции существуют противопоказания:
- инфекционные заболевания в острой стадии;
- сниженное количество тромбоцитов в сыворотке крови;
- низкое артериальное давление.
- инфекционный эндокардит;
- резкое падение давления из-за большой потери крови;
Замену клапана производят при значительных его повреждениях, при этом стараются сохранить сосочковые мышцы и хорды.
Имплантация противопоказана женщинам, планирующим беременность и пациентам с заболеваниями крови.
Абсолютным противопоказанием является тяжелая сердечная недостаточность, таким людям показана пересадка сердца.
Осложнения после протезирования:
- тромбоэмболия;
- геморрагические заболевания;
- отторжение протеза.
Диетическое питание
Чтобы не попасть на прием к кардиохирургу, необходимо принимать профилактические меры, не допускающие кальциноза сосудов. Лучшая профилактика в этом случае – правильное питание.
Существует определенная диета, не позволяющая кальцию откладываться на стенках сосудов.
Основные особенности диеты:
- дробное питание небольшими порциями;
- исключение из рациона жареных и жирных блюд;
- ограничение на употребление острых специй, пряностей, соусов и специй;
- минимальное количество соли;
- приготовление первых блюд на овощных отварах;
- достаточное количество молочных и кисломолочных продуктов.
Основная цель лечебного питания – восстановление процессов обмена, сокращение поступления в организм животных жиров, влияющих на образование холестериновых бляшек.
Животные белки в избыточном количестве формируют отложения на стенках сосудов, но совсем от жиров отказываться не стоит, так как они ценный источник витаминов В, А, D, поэтому в рацион вместо животных жиров рекомендуется вводить растительные масла. В меню постое мясо должно быть не чаще двух раз в неделю.
Для чего необходимы растительные масла:
- они окисляют желчь;
- помогают печени перерабатывать и выводить холестерин;
- предотвращают тромбообразование за счет повышения в сыворотке крови элемента простациклина.
Почему в лечебном питании запрещены сахар и сдоба? Эти продукты повышают уровень триглицеридов в крови, опасных при угрозе тромбоэмболии и сахарном диабете.
Кроме сахара запрещены:
- жареная свинина и баранина;
- изделия быстрого питания;
- кислая капуста;
- соленья и маринады;
- консервы;
- мясные бульоны;
- копчености;
- избыточное употребление соли;
- крепкий кофе и черный чай;
- острые и содержащие щавелевую кислоту овощи;
- мороженое;
- шоколад;
- сладкая газированная вода.
Употребление яиц необходимо сократить до двух в неделю и только белок, желток – источник холестерина.
При кальцинозе вывести излишек кальция помогают продукты:
- гречка;
- овсянка;
- пшенная крупа;
- орехи;
- бобовые;
- брюссельская капуста.
При критическом кальцинозе аорты диетологи не рекомендуют увлекаться творогом, свежим, жирным молоком, твердым сыром.
В диете увеличивается масса продуктов, богатых магнием:
- крупы рисовая и гречневая;
- свежая зелень;
- зеленый салат;
- сухофрукты;
- яблоки;
- перепелиные яйца.
Магний плохо усваивается в сочетании с алкоголем, поэтому врачи настоятельно рекомендуют отказаться от употребления спиртных напитков.

Народные средства
Из народных средств самое эффективное – чеснок, очищающий сосуды от бляшек. На основе чеснока изготовляют различные лекарственные средства.
Настой чеснока на водке
Для приготовления средства берут стакан водки и двести грамм измельченных зубчиков чеснока. Приготовленную смесь настаивают десять дней в холодном темном месте.
Лекарство принимают с молоком, начиная с одной капли, разбавленной в половине стакана молока, в утренний прием, следующий прием увеличивают на одну каплю, и так три раза в день.
Первый этап занимает пять суток, следующие пять суток дозу уменьшают каждый день по одной капле на один прием. В итоге остается двадцать пять капель на прием, три раза в сутки.
Хорошо очищают артерии и сосуды отвары целебных трав пустырника, ромашки, почек березы, каждого растения по сто грамм. Сухую смесь трав заваривают из расчета одна ложка столовая с горкой на литр кипящей воды.
Отвар настаивают тридцать минут, затем процеживают и выпивают одну половину утром, вторую вечером, для усиления эффекта в теплый напиток добавляют мед. Курс лечения – тридцать дней.
Действенное средство при кальцинозе – артишок, снижающий уровень холестерина в крови почти на тридцать процентов. Для приготовления целебного средства необходимо взять одну ложку сухих листьев растения и залить стаканом кипятка. Настой пьют как чай на протяжении месяца.
Синий йод
В народе популярен метод лечения синим йодом, способным полностью растворять склеротические бляшки.
Рецепт приготовления синего йода:
- Одну чайную ложку крахмала растворяют в пятидесяти миллилитрах холодной воды.
- В смесь добавляют чуть больше чайной ложки сахара и добавляют пару крупинок лимонной кислоты.
- В полученную смесь доливают половину стакана кипящей воды, дают полностью остыть и добавляют йод в количестве одной чайной ложки.
Как принимать синий йод
Всего в день необходимо принять пять чайных ложек, по одной после приема пищи на протяжении пяти дней. Далее лекарственное средство принимают через день по той же схеме.
При возникновении аллергической реакции на йод прием необходимо прекратить и выпить несколько таблеток угля активированного.
Эффект от синего йода усиливают орехи, содержащие в большом количестве магний: арахис, кешью, фисташки, фундук, грецкие орехи и миндаль.
Вопрос-ответ
Можно ли вылечить кальциноз?
Лечат кальциноз при помощи увеличения приема магния, а также различных препаратов, магнийсодержащих, так как именно данный элемент отвечает за протекание процесса усвоения кальция в человеческом организме.
Чем опасен кальциноз коронарных артерий?
Кальциноз коронарных артерий (ККА) и брюшной аорты (КБА) является признаком прогрессирующего атеросклероза и прогностическим фактором сердечно-сосудистых заболеваний (ССЗ) и смертности от них, независимо от традиционных факторов риска ССЗ.
Как лечат кальциноз сердца?
При серьезной стадии кальциноза наиболее эффективное лечение – перикардиотомия (хирургическое вмешательство, направленное на удаление кальцифинированного перикарда).
Как убрать кальций из артерий?
При нарушении усвоения кальция назначаются медикаменты, содержащие магний, который является антагонистом кальция. Достаточное поступление магния с продуктами питания и медикаментозными препаратами позволяет растворить конгломераты и вывести избыток кальция из организма.
Советы
СОВЕТ №1
Регулярно проходите медицинские обследования, включая анализы на уровень холестерина и другие факторы риска сердечно-сосудистых заболеваний. Это поможет выявить проблемы на ранних стадиях и принять меры для их устранения.
СОВЕТ №2
Следите за своим питанием. Употребляйте больше фруктов, овощей, цельнозерновых продуктов и рыбы, а также ограничьте потребление насыщенных жиров и трансжиров. Здоровая диета может снизить риск кальциноза коронарных артерий.
СОВЕТ №3
Поддерживайте активный образ жизни. Регулярные физические нагрузки, такие как ходьба, плавание или занятия спортом, помогают улучшить кровообращение и снизить уровень кальция в артериях.
СОВЕТ №4
Откажитесь от курения и ограничьте потребление алкоголя. Эти привычки негативно влияют на здоровье сердечно-сосудистой системы и могут способствовать развитию кальциноза коронарных артерий.



